Advanced Visualization Solutions

All Around Applications

FUSION VIEWER

The PET/CT Fusion protocol provides flexible and simple image overlay analysis. Standard Uptake Value calculations are enabled with ROIs and VOIs.

MULTI-MODALITY FUSION

Up to four different series from different phases or even modalities can be layered using varied opacity profiles.
The Multi-Data Fusion protocol highlights spatial relationships between objects that can assist in planning surgical procedures.

MR/MR FUSION

MPR navigation of fused MR volumetric data.

MR COMBINATION

Stitch multiple MR series and observe, combine and save into one series.

CT DUAL KV

The CT Dual kV protocol generates blended, subtraction and VNC images using Dual Energy CT scan data, and saves the results as a new series.

4D TIC

This protocol allows time intensity curves to be generated from one or more ROIs placed anywhere within a multi-phase contrasted volumetric data set. TICs from multiple ROIs can be viewed simultaneously for comparison.

3D ANALYSIS

Ziostation2 handles the growing dataset sizes with ease, displaying high-definition Volume Rendered images, along with MPR, CPR, MIP, MinIP, SUM, VE and Gradient MIP data visualizations. All tools can be accessed immediately with top-level GUI selection controls.

Neurology

CT CEREBROVASCULAR AUTO-SEGMENTATION

Automatic segmentation and visual differentiation of arteries and veins of the head.

SUBTRACTION

The CT Subtraction protocol can perform high precision registration on pre and post contrasted images. High density structures are automatically removed and vessels can be extracted without any loss of smaller distal vessels.

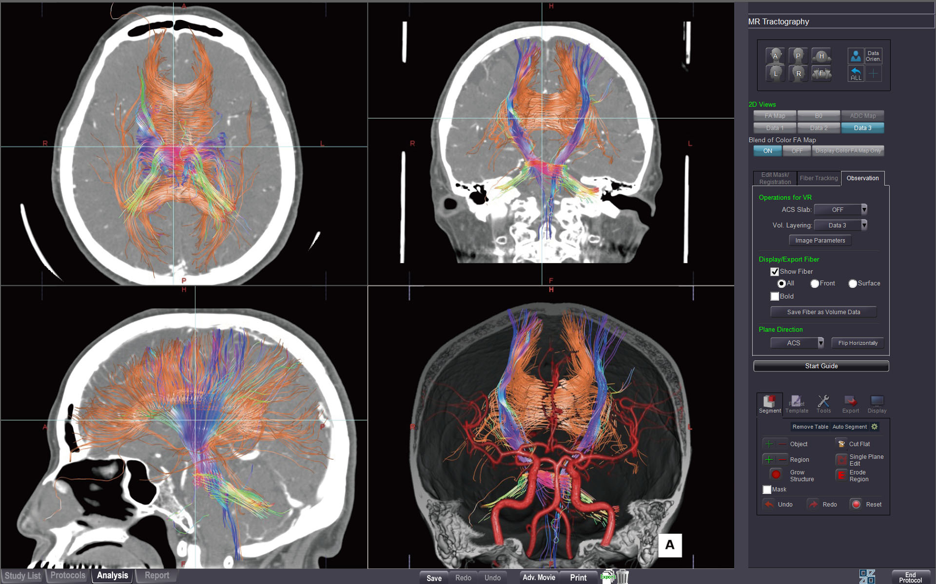
MR TRACTOGRAPHY

This protocol enables visualization of neural tracts using diffusion-weighted MR images.

MR BRAIN PERFUSION

Analyzes blood flow using contrasted MR images scanned at the same cross-section, showing changes over time.

CT VOLUME PERFUSION

Analyzes blood flow using contrasted CT images as volume data scanned at the same cross-section or VR aspect, showing changes over time.

CT PERFUSION ANALYSIS

Analyzes blood flow using contrasted CT images scanned at the same cross-section, showing changes over time.

CEREBRAL MRA SEGMENTATION

Automatically segments major vessels or brain parenchyma for un-compromised advanced visualization of the major cerebral vasculature.

4D SUBTRACTION

The 4D Subtraction protocol creates image subtraction series from dynamic multi-phase CT datasets, enabling true 4D angiographic visualization of vascular flow and anatomy.

Cardiovascular

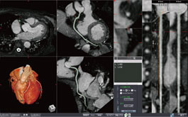
TAVR

This protocol allows comprehensive pre-procedure annulus assessment using static and dynamic measurement tools. Assessment tools are also provided for femoral/iliac and apical access routes. Surface rendering, automatic extraction of the annulus plane, and SCCT-compliant measurement and reporting tools are included.

MR MYOCARDIAL T1 MAPPING

Using MR heart data scanned with and without a contrast material with different TI, this protocol extracts inner and outer wall contours of LV, shows color maps of T1 values calculated from T1 relaxation curve, and shows ECV calculated from hematocrit values and blood T1 values.

MR FLOW

Using phase contrast MR images, this protocol evaluates flux and velocity of a specified vessel.

MR CORONARY ANALYSIS

With contrasted MR images, this protocol extracts coronary arteries and displays the results in MIP, CPR, and Straight View. Calculation of vessel stenosis is available.

MR Cardiac Function

Utilizing multi-phase MR images of the heart, this protocol segments the inner and outer walls of the left ventricle, and calculates ejection fraction, wall thickness, wall thickness ratio and regional wall motion.

EP PLANNING

Automatically extract pulmonary veins and left atrium, display centerlines and lumen boundaries and provide measurements to enable analysis and assessment in support of EP Planning.

CT/SPECT CARDIAC FUSION

This protocol fuses functional (SPECT) and anatomic (CT) cardiac studies, supporting analysis of stress, rest and reversibility.

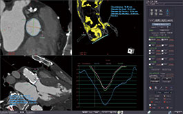
CT MYOCARDIAL PERFUSION

Using the stress and rest data of the heart scanned with a contrast material, this protocol provides polar maps and 3D fused images to review transmural perfusion ratio of LV myocardial blood flow.

CT MYOCARDIAL ECV ANALYSIS

This protocol calculates myocardial extracelluar volume (ECV) and shows color maps on the myocardium and polar maps.

CT DYNAMIC MYOCARDIAL PERFUSION

Analyzes myocardial blood flow using contrasted CT images as volume data scanned at the same cross-section, showing changes over time. Non-rigid registration is supported.

CT CORONARY TERRITORIES

This protocol allows for quantification of myocardial volumes by coronary segment.

CT CORONARY CALCIUM SUBTRACTION

Subtract coronary artery calcium and high-density areas and save the results as a new series. Use in conjunction with CT Coronary Compare for optimal visualization of the coronary vessel lumen.

CT CORONARY COMPARE

The CT Coronary Compare protocol allows you to perform coronary artery centerline extractions and stenosis-related lumen calculations on calcium substrated data with ease.

CT CORONARY ANALYSIS

With contrasted CT images, this protocol automatically extracts the coronary arteries and displays the results in views such as MIP, CPR, and Straight CPR. Calculation of vessel stenosis is available.

CT CARDIAC FUNCTION

Utilizing multi-slice CT images of the heart, this protocol segments the inner and outer walls of the left ventricle, and calculates ejection fraction, wall thickness, wall thickness ratio and regional wall motion.

CT CALCIUM SCORING

Using non-contrasted CT, this protocol scores calcium in the coronary arteries.

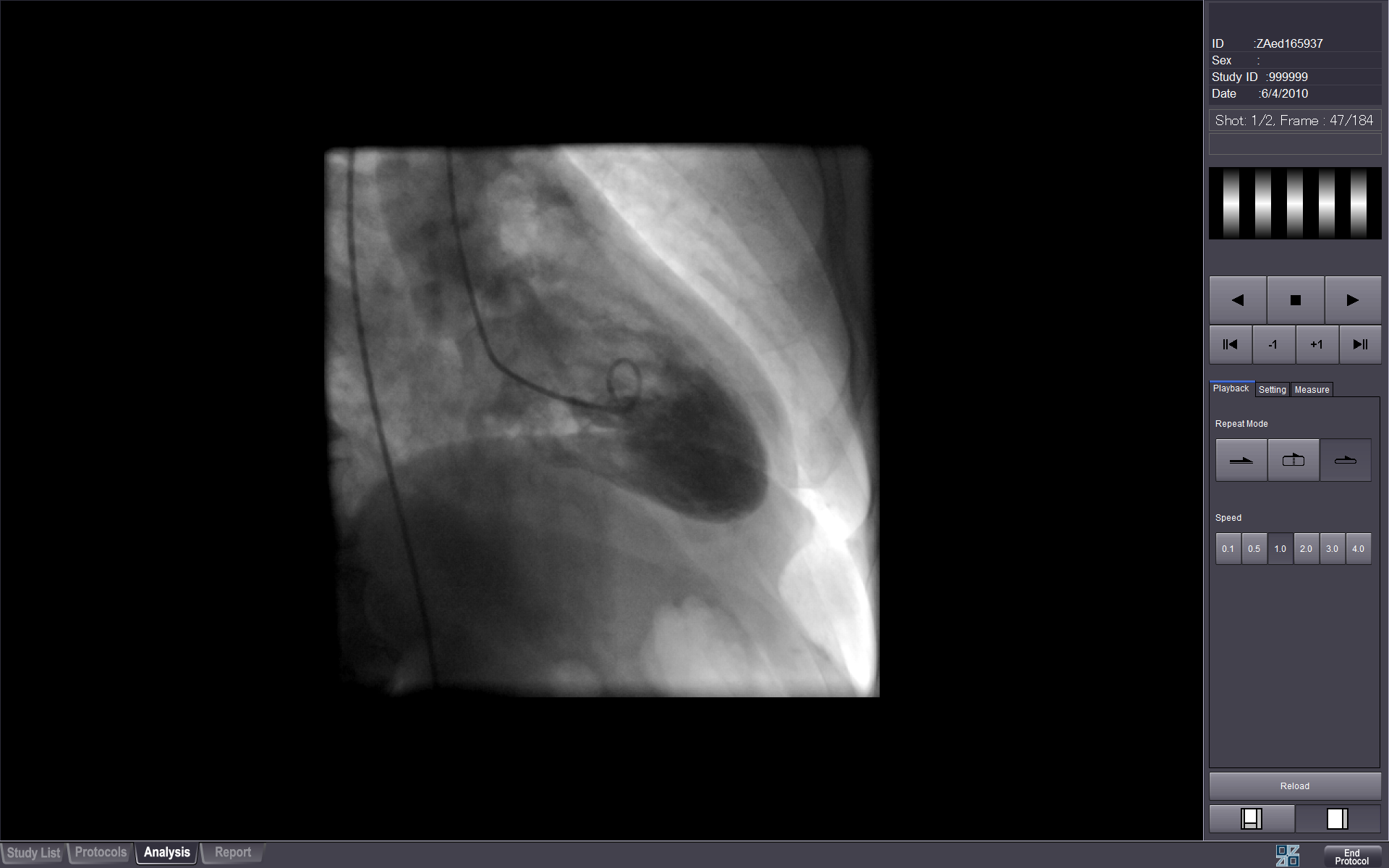
CINE VIEWER

View multi-frame angio data. Features include cine playback, changing playback speed and simple measurements.

Respiratory & Chest

CT PA/PV AUTO-SEGMENTATION

This standard feature allows you to display lungs, bronchi, pulmonary artery and pulmonary veins simultaneously. Click on an individual structure to toggle its inclusion in the arterial or venous mask. Fusion of structures such as lesions or tumors is straightforward.

VIRTUAL BRONCHOSCOPY

Using chest CT data, this protocol automatically extracts the bronchi, and creates and navigates a virtual bronchosopic pathway.

CT PULMONARY ANALYSIS

Segments image masks of bronchi and lungs using CT scanned chest data with or without a contrast, and provides measurements such as bronchial diameters and LAV for quantitative assessments of airways.

CT LUNG RESECTION PLANNING

High precision automatic segmentation of lungs, lung lobes, bronchi, pulmonary arteries and veins enable lung resection proposals based on bronchial or arterial anatomy.

CT LESION ANALYSIS

Segments and quantifies suspected lesions from multiple studies to track changes in size over time.

Abdominal

CT VOLUME PERFUSION

Analyzes blood flow using contrasted CT images as volume data scanned at the same cross-section or VR aspect, showing changes over time.

CT RENAL STONE ANALYSIS

A single click stone extraction enables volumetric measurements. This protocol also allows for viewing of baseline and serial exams for comparison.

CT PERFUSION ANALYSIS

Analyzes blood flow using contrasted CT images scanned at the same cross-section, showing changes over time.

CT LIVER ANALYSIS

This protocol is used to segment image masks of the hepatic artery, portal vein, hepatic vein using data of liver scanned with a contrast material and measure volumes including liver segments and lesions.

CT COLON ANALYSIS

Extracts air-filled tracts of the colon from CT images and displays the results in a “filet” view and virtual endoscopy views(VE+MPR). You can mark the ROI and make observations.

Orthopedics

MR TX MAPPING

Using MR data with different TE and spin lock times, this protocol measures T2, T2*, or T1rho values of the specified ROI and shows color maps.

ADVANCED MPR BATCH

With this protocol a user can designate a pathway defining the acquisition of a sequential series of MPR images, with special applicability to spinal imaging.

3D ANALYSIS

Ziostation2 handles the growing dataset sizes with ease, displaying high-definition Volume Rendered images, along with MPR, CPR, MIP, MinIP, SUM, VE and Gradient MIP data visualizations. All tools can be accessed immediately with top-level GUI selection controls.

Dental

CT DENTAL VIEWER

Using mandible and/or maxilla CT images, this protocol computes and displays panoramic and cross-cut images.

Oncology

MR MULTIPARAMETRIC ANALYSIS

Using DCE MR images, this protocol displays high precision time-intensity curves for tissue characterization, with BI-RADS and general curve standardizations.

MR/MR FUSION

MPR navigation of fused MR volumetric data.

MR BRAIN PERFUSION

Analyzes blood flow using contrasted MR images scanned at the same cross-section, showing changes over time.

CT VOLUME PERFUSION

Analyzes blood flow using contrasted CT images as volume data scanned at the same cross-section or VR aspect, showing changes over time.

CT PERFUSION ANALYSIS

Analyzes blood flow using contrasted CT images scanned at the same cross-section, showing changes over time.

CT LUNG RESECTION PLANNING

High precision automatic segmentation of lungs, lung lobes, bronchi, pulmonary arteries and veins enable lung resection proposals based on bronchial or arterial anatomy.

CT LIVER ANALYSIS

This protocol is used to segment image masks of the hepatic artery, portal vein, hepatic vein using data of liver scanned with a contrast material and measure volumes including liver segments and lesions.

CT LESION ANALYSIS

Segments and quantifies suspected lesions from multiple studies to track changes in size over time.

CT COLON ANALYSIS

Extracts air-filled tracts of the colon from CT images and displays the results in a “filet” view and virtual endoscopy views(VE+MPR). You can mark the ROI and make observations.

COMPUTED DWI

Creating specific b-value images and using the calculated ADC map enables comprehensive analysis of lesion and diffusion characteristics.